Dental X-Rays: What Are They and How Much Do They Cost?
Dental X-rays are essential for detecting problems that aren’t visible during a routine oral exam.…
Our staff is conformed by professionals who are truly passionate about dentistry. They are committed to work with you to create a rewarding dental experience every time you visit our practice. Our licensed and board certified dentists come from the most recognized dental schools.
NOVA DENTAL Advanced Dental and Wellness Center.

Dr. Luis Obando DDS, Medical Director,
Specialist in dental implantology
The leading clinic of Dentistry Specialties of Costa Rica!
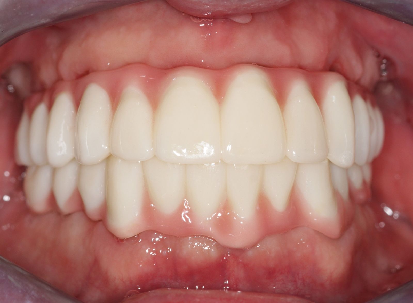
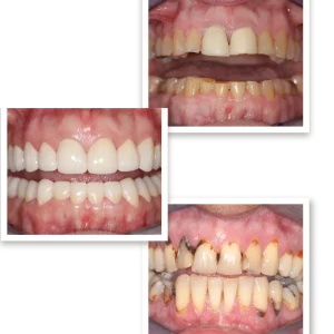
See real transformations in our before and after gallery—authentic smiles restored with expert dental care in Costa Rica.


Advanced Dental and Wellness Center

Explore real patient results, reach us anytime for emergencies, and enjoy comfort with our partner hotels and recovery facilities—designed for your peace of mind.
Emergency Contact
If you’re a first time patient, we recommend you to read the following recommendations.
Hear directly from our patients real stories of restored confidence, expert care, and amazing results that make Nova Dental a top choice in Costa Rica.
had a wonderful experience and definitely recommends NOVA DENTAL Advanced Dental Center for any dental procedure. Thank you Erica, glad to help you!


Can you believe I saved over $28K on my dental work by hopping on a plane to beautiful Costa Rica? What started as a search for affordable implants turned into one of the most amazing adventures of my life! From the moment I landed in San Jose, everything was perfect, staying at the gorgeous Alta Las Palomas hotel, being driven everywhere by the wonderful Nova Dental team, and working with Dr. Obando who treated me like family. Instead of the $40K quote I got in Hawaii, my EIGHT implants cost a around $12K total!
The Medical Tourist


Our Doctors

Medical Director. Specialist in Dental Implantology and Aesthetic Dentistry

DDS, MSc

DDS, MSc

DDS, MSc

Dental implants in Costa Rica are significantly more affordable than in many other countries. The average cost for a single-tooth implant is approximately $800, which is about half of what you'd expect to pay in the United States. Full-mouth restorations typically range from $20,000 to $25,000, offering substantial savings compared to U.S. prices.
Yes, Costa Rica is considered a safe destination for dental tourism. The country boasts excellent healthcare standards and a robust tourism industry. Many dental clinics are equipped with state-of-the-art technology and staffed by highly trained professionals. However, it's essential to conduct thorough research on potential clinics, including reviews, accreditations, and dentist credentials, to ensure a safe and satisfactory experience.
To ensure you're receiving care from a qualified professional, verify that the dentist is properly licensed by Costa Rica's Colegio de Cirujanos Dentistas (College of Dental Surgeons). Additionally, you can check for board certifications and memberships in international dental organizations. Many reputable clinics provide information about their dentists' credentials on their websites
When planning your dental trip, consider the following:
novadentalcr.com
Dental X-rays are essential for detecting problems that aren’t visible during a routine oral exam.…
Dental implants are a popular and effective solution for replacing missing teeth, offering a natural…
Aging is inevitable, but maintaining a healthy, confident smile is always possible. Dental implants have…

NOVA DENTAL Advanced Dental Center is a full dental service located in Plaza Itzkatzu in San José, Costa Rica. Our services include partial or complete cosmetic restoration, dental implants all on 4, endodontics and routine dentistry.
Address: Plaza Itzkatzú Escazú, San José, Costa Rica.
Mon 9:00 – 19:00
Tue 9:00 – 19:00
Wed 9:00 – 19:00
Thur 9:00 – 19:00
Fri 9:00 – 19:00
Sat and Sun Closed